Estudo revela que estrutura à volta dos tumores pode tornar o neuroblastoma mais agressivo

Um novo estudo do Children’s Hospital Los Angeles (EUA) identificou um fator até agora pouco explorado na progressão do neuroblastoma: a forma e a rigidez da matriz extracelular — a rede de proteínas que envolve e sustenta os tumores. A investigação, publicada na revista Advanced Materials, mostra que uma matriz mais...
Ler MaisEntrevista a Ana Amaral, responsável pelo projeto vencedor da 9.ª edição do Prémio Rui Osório de Castro / Millennium bcp

Com um percurso marcado pela dedicação à investigação em sarcomas pediátricos, Ana Amaral lidera o projeto distinguido com o Prémio Rui Osório de Castro / Millennium bcp 2024. Nesta entrevista, a investigadora do Centro de Inovação em Biomedicina e Biotecnologia da Universidade de Coimbra fala-nos da sua motivação, do impacto...
Ler MaisVietname implanta pela primeira vez um fémur em 3D numa criança com cancro ósseo

Uma equipa do Hospital Internacional Vinmec Times City (Vietname) realizou, pela primeira vez, a substituição total do fémur de uma criança com um implante impresso em 3D, feito à medida. A intervenção inédita devolveu mobilidade a um rapaz de oito anos com osteossarcoma e representa um marco na cirurgia ortopédica...
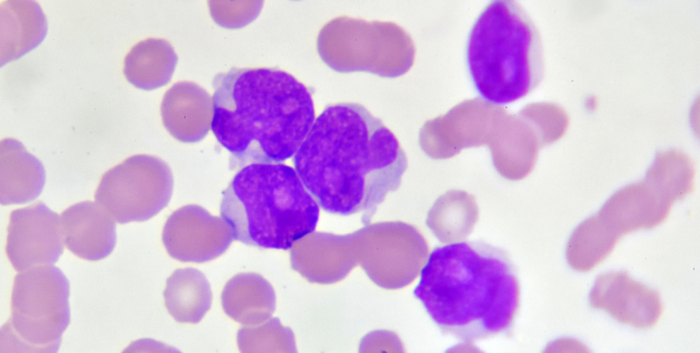
Ler MaisTratamento: nova terapia com resultados promissores na leucemia mieloide aguda pediátrica

Cientistas do St. Jude Children’s Research Hospital (EUA) e do Dana-Farber Cancer Institute (EUA) descobriram uma potencial vulnerabilidade terapêutica na leucemia mieloide aguda (LMA) em crianças, ao identificarem como as fusões da proteína NUP98 impulsionam esta forma de cancro pediátrico agressiva e de mau prognóstico. A investigação, publicada na Cancer Discovery,...
Ler MaisSobreviventes de cancro pediátrico tiveram risco 58% mais elevado de COVID-19 grave

Apesar de apresentarem uma taxa mais baixa de infeção registada por COVID-19 e maior taxa de vacinação, os adultos que sobreviveram a um cancro pediátrico enfrentaram um risco 58% mais elevado de desenvolver COVID-19 grave, segundo um estudo de larga escala conduzido na Dinamarca e na Suécia. A investigação analisou mais...
Ler MaisCoimbra: crianças com cancro com mais apoio psicológico e atividades lúdicas no hospital

A partir de maio deste ano, as crianças e jovens com cancro que recebem tratamento no Hospital Pediátrico de Coimbra vão beneficiar de novas iniciativas de apoio emocional e atividades lúdico-pedagógicas em contexto hospitalar, fruto de uma parceria entre a Unidade Local de Saúde de Coimbra (ULS) e o Núcleo...
Ler MaisRealidade virtual ajuda a revelar novos detalhes sobre tumores cardíacos em crianças

Um novo software de realidade virtual, desenvolvido em Melbourne (Austrália), está a oferecer uma nova perspetiva sobre os tumores cardíacos mais comuns em idade pediátrica. A tecnologia, chamada VR-Omics, foi criada por investigadores do Murdoch Children’s Research Institute (Austrália) e demonstrou ser capaz de detetar atividades celulares anteriormente desconhecidas no...
Ler MaisImunoterapia abre novas possibilidades em cancro pediátrico raro e agressivo

O caso de uma bebé de cinco meses, diagnosticada com um tumor rabdóide maligno no rim, revelou novas pistas para o desenvolvimento de terapias celulares personalizadas em oncologia pediátrica. O estudo foi liderado pelo Centro Nacional de Análisis Genómico (CNAG), Institute for Research in Biomedicine de Barcelona (IRB Barcelona) e...
Ler MaisCancro pediátrico: “Hoje estamos a curar crianças que há 10 anos só recebiam cuidados paliativos”

Owen Smith, hematologista pediátrico no Children’s Health Ireland (Irlanda), acredita que estamos a viver um momento determinante para o futuro do tratamento do cancro pediátrico. A medicina de precisão, a sequenciação genómica e a colaboração internacional estão a transformar a forma como esta doença é compreendida e tratada. Em entrevista...
Ler MaisMelanoma pediátrico: um alerta crescente e desafios no diagnóstico

O melanoma é o cancro de pele mais letal em crianças e adolescentes, e a sua incidência tem vindo a aumentar, com cerca de 300 a 500 novos casos por ano nos EUA. A maioria destes casos está associada à exposição excessiva aos raios ultravioleta (UV), especialmente nas duas primeiras...
Ler MaisTratamentos oncológicos e risco genético explicam a maioria dos novos tumores em sobreviventes de cancro pediátrico

Os tratamentos recebidos e a predisposição genética são os principais responsáveis pelo desenvolvimento de novos tumores em sobreviventes de cancro pediátrico, revela um novo estudo internacional que analisou mais de 12 mil pessoas tratadas na infância. A investigação, baseada em dados dos estudos St. Jude Lifetime Cohort (SJLIFE) e Childhood Cancer...
Ler MaisNovo avanço genético no tumor de Wilms pode abrir caminho a terapias mais personalizadas

Investigadores do Princess Máxima Center (Países Baixos), em colaboração com centros no Reino Unido, identificaram um número muito maior de alterações genéticas do que o esperado no tumor de Wilms, uma forma de cancro do rim que afeta crianças. Esta descoberta pode impulsionar o desenvolvimento de tratamentos mais personalizados, incluindo...
Ler Mais“A literacia faz bem à saúde, é a riqueza de uma nação e salva vidas.”, por Cristina Vaz de Almeida.

No âmbito da renovação do PIPOP, a Fundação Rui Osório de Castro contou com a colaboração da Sociedade Portuguesa de Literacia em Saúde (SPLS) na estratégia de apresentação gráfica e de revisão de conteúdos, garantindo o alinhamento com boas práticas de literacia em saúde e de comunicação em saúde para...
Ler MaisEntrevista FROC – PIPOP 3.0

“O PIPOP 3.0 é o reflexo do compromisso da FROC com a seriedade, a proximidade e a literacia em saúde.” – Mariana Mena, Diretora Geral da Fundação Rui Osório de Castro. O PIPOP — Portal de Informação Português de Oncologia Pediátrica — entra agora numa nova fase. Com mais de uma...
Ler MaisAnálise do ar expirado pode ajudar a ajustar melhor a anestesia em crianças

Um novo método de análise do ar expirado pode tornar a anestesia geral mais segura para crianças. Investigadores da Universidade de Basileia e do Hospital Pediátrico Universitário de Basileia (Suíça) desenvolveram uma técnica que permite monitorizar em tempo real a dose ideal de propofol – um dos anestésicos mais utilizados...
Ler MaisLeucemia mieloide crónica: Europa aprova medicamento para tratar crianças

O medicamento bosutinib foi recentemente aprovado pela Agência Europeia do Medicamento (EMA) para uso em crianças com leucemia mieloide crónica (LMC), uma forma rara de cancro do sangue em idade pediátrica. A investigação clínica necessária para esta aprovação foi liderada pelo Princess Máxima Center for Pediatric Oncology e pelo Erasmus...
Ler MaisBiomarcadores de células tumorais podem melhorar o tratamento do osteossarcoma pediátrico

Investigadores do Princess Máxima Center for Pediatric Oncology (Países Baixos) identificaram dois biomarcadores presentes nas células tumorais de crianças com osteossarcoma, que ajudam a prever a evolução da doença. Esta descoberta pode, no futuro, tornar os tratamentos mais personalizados e orientar melhor a inclusão em ensaios clínicos, com o objetivo...
Ler MaisMaior risco de diabetes em adultos que tiveram cancro pediátrico

Um novo estudo realizado no Princess Máxima Center for Pediatric Oncology (Países Baixos) concluiu que adultos que tiveram cancro pediátrico têm maior probabilidade de desenvolver diabetes em idades mais jovens. Graças aos avanços na medicina, cerca de 80% das crianças com cancro conseguem, atualmente, ser curadas. No entanto, os tratamentos utilizados...
Ler MaisNovo teste ao sangue pode ajudar a tratar melhor o cancro pediátrico

Uma nova análise ao sangue, desenvolvida por investigadores do Institute of Cancer Research (ICR), no Reino Unido, poderá ajudar os médicos a identificar os tratamentos mais eficazes para crianças e jovens com cancro, especialmente em situações de recaída. Este teste, conhecido como biópsia líquida, funciona como uma “rede de alta tecnologia”...
Ler MaisMédicos e famílias no Reino Unido alertam para atrasos no diagnóstico de cancro pediátrico

No Reino Unido, médicos e famílias estão a apelar a uma mudança urgente na formação médica e na sensibilização pública para garantir diagnósticos mais precoces de cancro pediátrico. O alerta surge após novos dados revelarem que o país está a ficar para trás na identificação atempada da doença em comparação...
Ler Mais